Здоровье
Вирус Коксаки: новые предупреждения Роспотребнадзора
Специалисты бьют тревогу из-за роста случаев заражения.
Снегопады и минусовые температуры ожидаются в Башкортостане
Синоптики предупреждают о значительных осадках и холодной погоде.
Прямой эфир о роддоме в Уфе
Узнайте все о роддоме ГКПЦ на прямом эфире 30 октября.
В Уфе открыт новый центр мониторинга инсультов
Центр будет заниматься координацией медицинской помощи при инсультах.
Эксперты НИИ педиатрии обсудили новые методы лечения в Уфе
В Уфе прошла конференция, посвященная современным подходам в области детской медицины.
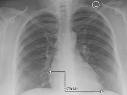
Искусственный интеллект впервые расшифровал рентген в Башкирии
Прорыв в области цифровизации здравоохранения республики.

Минздрав Башкирии опроверг слухи о вспышке пневмонии в Уфе
В ведомстве подтвердили, что рост заболеваемости соответствует сезонным колебаниям.
Секреты ухода за спатифиллумом: как добиться обильного цветения
Правильный уход и подкормки помогут вашему растению зацвести даже в сложных условиях.

В Башкирии растет заболеваемость COVID-19
Статистика за неделю показывает увеличение случаев коронавируса.

Новый проект по улучшению городской инфраструктуры в Москве
Москва запускает масштабную программу обновления общественного транспорта.