Искусственный интеллект впервые расшифровал рентген в Башкирии
Прорыв в области цифровизации здравоохранения республики.
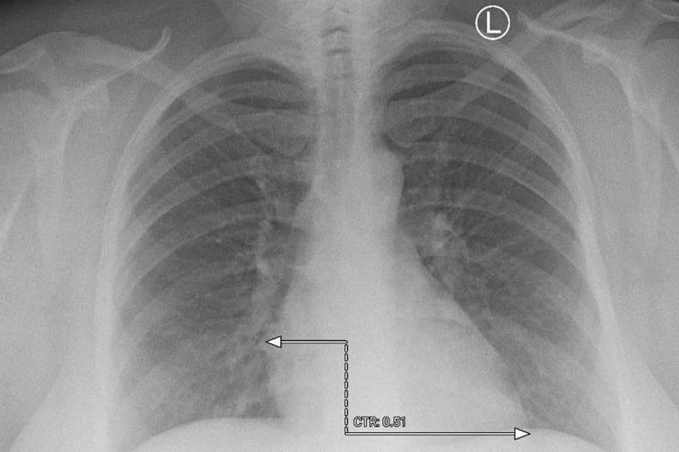
Впервые в истории Башкирии искусственный интеллект расшифровал рентгеновский снимок. Об этом на своей личной странице в социальных сетях рассказал глава республиканского Министерства здравоохранения Айрат Рахматуллин.
Врачи городской больницы №21 города Уфа направили на платформу «МосМедИИ» рентген органов грудной клетки пациента и спустя минуту цифровой помощник предоставил заключение. Искусственный интеллект интерпретировал изображение, разметил зоны патологических очагов и выдал протокол исследования.
Получившийся результат Айрат Рахматуллин назвал большим прорывом в области цифровизации здравоохранения. По его мнению, искусственный интеллект поможет быстрее изучать КТ, МРТ, рентгенснимки, флюорографию и ангиографию.
– Стоит отметить, что последнее слово все же будет оставаться за врачом. До конца года планируется расширить как количество медицинских организаций, так и количество ИИ-сервисов, используемых республикой на «МосМедИИ», – заявил руководитель Минздрава республики.
Последние новости

Школьники из Альшеевского района посетили Центризбирком республики
В Центризбиркоме республики прошел «День открытых дверей» для учащихся школы №5 села Раевский.

Управление напоминает о необходимости предоставления отчетности за 2024 год
Управление Министерства юстиции Российской Федерации по Республике Башкортостан напоминает руководителям некоммерческих организаций об обязанности предоставлять отчетность, установленную федеральным законодательством.

По иску Управления ликвидирована некоммерческая организация
Управление Министерства юстиции Российской Федерации по Республике Башкортостан в связи с выявленными нарушениями обратилось в суд с административным исковым заявлением о ликвидации Автономной некоммерческой организации
Куда пойти с детьми в Уфе: 10 весёлых мест на выходные
Идеи для семейного отдыха в столице Башкортостана — от активных игр до познавательных музеев